Состав жевательной резинки
Каждый изготовитель вносит в состав жевательной резинки те, или иные компоненты, отвечающие за индивидуальные отличия и придающие продукту специфические вкусовые качества. Тем не менее основные составляющие у всех жвачек одинаковы.
Резиновая основа
Резиновая основа состоит из:
- Эластомера;
- Смол;
- Воска.
Входящие в состав гидрофобные пищевые полимеры препятствуют растворению жвачки в ротовой полости. В то же время, данное качество позволяет жевательной резинке контактировать с масляными поверхностями.
Подсластители
Именно данные компоненты являются одними из самых спорных, когда речь заходит о плюсах и минусах жевательной резинки и вреде жевательной резинке для детей. В связи с этим, рассмотрим эту составляющую продукта подробнее.
Сорбит (сорбитол)
В составе этот компонент так же обозначается Е420. Негативные последствия для организма возникают в следствие злоупотребления сорбитом и заключаются в развитии:
- Диареи;
- Повышенного газообразования, и, как следствие, синдрома раздраженного кишечника;
- Нарушения всасывания фруктозы.
Мальтит
Второе обозначение компонента Е965. При передозировке способен оказывать слабящий эффект. Однако, стоит отметить, что данный подсластитель имеет меньшую калорийность чем сахар и не приводит к разрушению эмали зубов.
Маннит
Относится к сахарным спиртам и имеет обозначение Е421. Обладает меньшим, чем сахароза гликемическим индексом и плохой всасываемостью в кишечнике. Может оказывать послабляющий эффект и обладает маскирующей способностью в отношение других лекарственных средств. Противопоказан в случае наличия в анамнезе сердечной недостаточности.
Аспартам Е951
Как подсластитель в 200 раз превосходит сахар. При попадании в организм, распадается на метанол и аминокислоты, что при употреблении в больших дозах, способно спровоцировать негативные последствия. Имеет противопоказания.
Ацесульфам Е950
В отдельном состоянии имеет ярко выраженный специфический привкус, ввиду чего применяется как комбинированная добавка.
Ксилит Е967
Является полноценным заменителем сахара, не оказывающим негативного воздействия на эмаль зубов. Необходимо учитывать, что при употреблении в больших количествах способен оказывать слабительное действие.
Помимо перечисленных компонентов, или как их альтернатива, могут использоваться сахар и глюкозный сироп.
Эмульгаторы
Данный тип веществ необходим для создания однородности и придания необходимой вязкости продукту.
Лецитин (Е322)
Изготавливается на основе соевого масла и считается нетоксичным веществом, хорошо выводящимся из организма. Необходим для снижения вязкости, что предотвращает прилипание.
Регуляторы кислотности
Наиболее часто для этих целей используются лимонная и яблочная кислоты. Как компоненты природного происхождения, считаются безвредными добавками. Необходимо учитывать, что в случае злоупотребления могут оказывать раздражающее действие вплоть до развития болезненных ощущений, кашля и рвоты с примесью крови.
Красители
Для придания жевательной резинке необходимой цветовой гаммы, наиболее часто используют карбонат кальция(Е170) и оксид титана(Е171). При употреблении в малых количествах оба компонента признаны безопасными для здоровья. При значительных передозировках карбонат кальция способен спровоцировать развитие молочно-щелочного синдрома, несущего серьезную опасность, вплоть до летального исхода.
Загустители
Для загустения сырья, используемого при изготовлении жевательных резинок, используется Аравийская камедь(Е414). Является компонентом природного происхождения, не несущим вреда здоровью.
Глазураторы
Для придания эстетически привлекательного покрытия поверхности жевательных подушечек используется пальмовый (карнаубский) воск. В составе данный компонент может обозначаться Е903. Нетоксичный компонент растительного происхождения.
Антиоксиданты
Используемое в качестве консерватора вещество гидроксианизол (Е320) допустим к использованию только в крайне малых количествах. Бесконтрольное употребление в больших количествах способно приводить к крайне негативным последствиям.
Рассмотрев подробнее состав продукта, можно ответить на вопросы о плюсах жвачки и пользе жевательной резинки для человека.
Чем можно заменить промышленную жвачку
Смола
Смола является природным заменителем жвачки. Чаще всего используют смолу вишни и яблони, обладающую приятным вкусом. Смола хвойных пород обладает приятным ароматом, но может ощутимо горчить.
Пчелиный воск
Крайне богат полезными микроэлементами и витаминами. Кроме этого, пчелиный воск и забрус обладают хорошими дезинфицирующими и ранозаживляющими свойствами. Однако, необходимо учитывать, что продукты пчеловодства могут быть достаточно сильными аллергенами.
Кофейные зерна
Обладают абразивными свойствами, имеют незначительный антибактериальный эффект и хорошо маскируют многие неприятные запахи. Кроме перечисленного, кофе обладает бодрящим и тонизирующим эффектом.
Мята и петрушка
Богаты эфирными маслами и витаминами. Способны не только устранить неприятный запах, но и придать временное ощущение сытости.
ЖВАЧКИ «ЗА»
— Качественно освежают дыхание, тем самым выручают перед важной встречей и в условиях, где нет возможности почистить зубы. — Ксилит, содержащийся в некоторых жевательных резинках, борется с вредными бактериями в полости рта, вызывающими кариес
— Ксилит, содержащийся в некоторых жевательных резинках, борется с вредными бактериями в полости рта, вызывающими кариес.
— Справляться со стрессом, увеличивает концентрацию внимания, помогает в период отказа от курения.
— Жвачка мягко удаляет мягкий налет, а слюна при этом «смывает» его с зубов. Благодаря этому Вы будете меньше подвержены кариесу. Также, благодаря жеванию,
в полости рта нормализуется кислотно-щелочной баланс.
— Процесс жевания стимулирует выделение желудочного сока, в результате чего улучшается пищеварение. Если Вы переели – используйте жвачку, чтобы облегчить
тяжесть в животе.
— Благодаря активному жеванию происходит своеобразный массаж десен, в них улучшается кровообращение, укрепляются жевательные мышцы. Жвачка помогает
улучшить дикцию. Например, если Вы устали, а Вам необходимо прочитать доклад.
Есть ли польза от жвачки
Как мы уже сказали, при умеренном и периодическом потреблении данный продукт может оказывать положительное действие. При этом он вызывает такие же рефлексы, как и стандартная пища. Прежде всего, жвачка повышает слюноотделение. Образующаяся слюна удаляет с зубов остатки еды, что защищает от размножения вредных бактерий и образования налета.
Если пожевать жевательную резинку после еды, она восстановит кислотно-щелочной баланс. После принятия пищи увеличивается уровень кислотности желудка, что провоцирует развитие вредных микроорганизмов, разрушение зубов и возникновение кариеса. Постепенно уровень кислотности восстанавливается и сам, но жвачка и увеличенное слюнообразование ускоряют данный процесс.
Кроме того, жевательная резинка укрепляет суставы челюсти. Некоторые эксперты считают, что современная пища не обеспечивает необходимую нагрузку на челюсть, а жвачка способна ее повысить. Однако гораздо полезнее пожевать морковь, яблоко либо другой свежий овощ и фрукт.
Жевательная резинка также стимулирует выработку желудочного сока, который нужен для правильного переливания еды в желудке. При нехватке этого вещества появляются проблемы в работе пищеварения, дискомфорт и боли в животе, а иногда даже тошнота.

Первая помощь ребёнку, если он проглотил зуб
Первым делом необходимо успокоить ребёнка и объяснить ему, что ничего страшного не произошло. Это особенно актуально, если ранка кровоточит, поскольку многие дети боятся крови и могут посчитать её признаком опасности. Далее следует заняться лункой:
-
Остановить кровь помогает прикусывание ватного тампона на 5–10 минут. Если кровотечение не прекращается, нужно обратиться к врачу.
-
Для дезинфекции лунки можно использовать полоскание солевым раствором или настоем ромашки. Применять сильнодействующие антисептические и противовоспалительные препараты без рекомендации стоматолога не допускается.
-
Чтобы произошло заживление, лунке нужно обеспечить покой: ничего не есть и стараться не пить в течение двух часов. До следующего дня лучше отказаться от раздражающей пищи: горячей, кислой, острой .
Чтобы облегчить прохождение зуба по пищеварительной системе, стоит ограничить активность. После того как закончится двухчасовой перерыв в питании, предложите ребёнку сырые овощи, фрукты, цельнозерновые продукты — они помогут перемещению зуба .
Как правило, прохождение зуба через желудочно-кишечный тракт занимает 12–14 часов. Если вы хотите проконтролировать его выход, можете дать ребёнку немного кукурузных зёрен. Они выходят из кишечника в неизменённом виде, и их наличие в стуле станет сигналом, что зуб также покинул организм .
Когда следует беспокоиться
Выпавшие зубы в пищеварительном тракте безвредны. Однако в очень редких случаях проглоченные мелкие предметы, в том числе и зубы, вместо пищевода могут попасть в дыхательные пути. Эта ситуация связана с серьёзными рисками и может требовать неотложной медицинской помощи. Чтобы исключить её, наблюдайте за ребёнком после проглатывания зуба. Вас должны насторожить следующие признаки:
-
затруднения при глотании;
-
повышенное слюнотечение;
-
кашель или хрипы;
-
боль в шее или груди;
-
тошнота и рвота;
-
кровь в рвоте или стуле;
-
боль в животе;
-
высокая температура.
Любой из этих симптомов является поводом немедленно обратиться к врачу .
Вред жевательной резинки
Теперь расскажем о тех минусах, которые подстерегают человека, привыкшего после каждого приема пищи жевать вкусную резинку.
Необходимо знать меру. В употреблении жевательной резинки для очистки полости рта от микроорганизмов необходимо соблюдать меру. Жевательную резинку достаточно пожевать пять-десять минут, чтобы провести поверхностную чистку полости рта и активизировать выделение слюнного секрета.
Если пренебрегать этим правилом и жевать резинку часто, то можно столкнуться со следующими проблемами:
- дисфункция работы желудка и двенадцатиперстной кишки из-за чрезмерного образования желудочного сока;
- ослабление зубного пародонта, ведь зубы не предназначены для непрерывной жевательной работы;
- нарушения в работе височно-нижнечелюстного сустава, возникновение головных болей;
- стирание эмали зубов, изменение её цвета;
- образование гастрита и язвы;
- повышение степени сухости слизистой рта.
Образование зависимости
Если человек каждый раз при возникновении стрессовой ситуации будет жевать резинку, то он привыкнет к такому положению вещей. В любой даже самой простой ситуации он будет прибегать к помощи жевательной резинки.
Отравляющий эффект
Использование жевательной резинки много раз в день и долгое время может привести к тому, что человека будет подташнивать. Если жевать резинку долго, то пищевые остатки, которая жвачка «собирает», могут попасть в желудок, что также очень неприятно.
Вред для ротовой полости
Слишком частое жевание резинки на одной стороне челюсти (правой или левой) приводит к внешней ассиметричности лица. Причина тому — увеличение мышц лишь с одной стороны челюсти. Чрезмерная активность одной стороны ротовой полости по сравнению с другой может стать причиной развития заболеваний полости рта.
Вред для детей
Употребление жвачки в детском и даже подростковом возрасте чревато сбоями и осложнениями в развитии зубов. Жевательная резинка, особенно при надувании пузырей, значительно портит прикус и способствует неправильному расположению зубов.
Вредные компоненты
Если в составе жвачки есть вредные компоненты, то негативный эффект от её употребления увеличивается в разы.
Сахар в составе жевательной резинки способствует образованию кариеса. Красители, стабилизаторы вкуса, некоторые эмульгаторы и антиоксиданты наносят вред печени человека и вызывают сбои в работе кишечника. Фенилаланин, содержащийся в некоторых жевательных резинках, вредит работе нервной системы. Некоторые заменители сахара могут отрицательно воздействовать на работу сосудов и процесс пищеварения. К ним относятся сорбит, аспартам, ацесульфам.
Итак, ознакомившись со всеми плюсами и минусами жевательной резинки, вы сможете принять верное решение – как часто можно её употреблять. Жевательная резинка – лишь приятное дополнение к целому комплексу мер, которые необходимо выполнять ежедневно, чтобы улыбка оставалась красивой, а зубы – здоровыми.
Возможные нарушения прорезывания зубов и осложнения
Долгое время считалось, что единственным нарушением является задержка признаков прорезывания зубов у ребёнка, но современные стоматологи классифицируют целый ряд возможных проблем, приводящих к серьёзным последствиям. Полный список содержит следующие пункты:
- Позднее прорезывание
- Раннее прорезывание
- Неправильный порядок прорезывания
- Формирование зачатков за дугой зубного ряда
- Аномальное формирование зуба
Все эти причины являются поводом для комплексного обследования ребёнка, включающее в себя анализ крови, рентгенограмму и назначение индивидуального лечения.
Другая проблема, часто возникающая у детей до 10 месяцев – гипоплазия эмали. Это заметное невооружённым глазом поражение внешней поверхности молочных зубов и образование на ней специфических бороздок жёлтого или коричневого цвета. Причиной нарушения, как правило, объявляется какая-либо болезнь матери, перенесённая во время беременности. Исходя из выявленной причины, лечение назначается также в индивидуальном порядке.
Гипоплазия эмали
Нередко, при нарушении правил гигиены, у грудничков наблюдается нагноение дёсен при прорезывании зубов. Опасность такого осложнения в том, что его не всегда видно даже при ежедневном и внимательном осмотре ребёнка, и в ряде случаев оно потребует немедленного хирургического вмешательства.
Прочие осложнения, которые могут возникнуть из-за нарушений прорезывания зубов, это:
- Возникновение множественных афтозных язв на языке и нёбе
- Неправильное формирование прикуса
- Заглоточный абсцесс
- Обширное воспаление дёсен
Вопрос к специалисту: Иногда родители сталкиваются с такой проблемой, что ребенку уже больше четырех лет, а у него до сих пор не прорезались некоторые зубы. Что в таком случае делать?
Малыхина Евгения Петровна
Детский врач-стоматолог, зам. главного врача клиник «Лаборатория улыбок МОНОПОЛИЯ»
Как правило, уже к 3 годам у ребенка прорезывается порядка 20 молочных зубов. В целом, скорость прорезывания зависит от того, как протекал первый триместр беременности. Также влияет и характер питания. Например, при долгом естественном вскармливании и кормления кашами у организма ребенка отсутствуют стимулы к прорезыванию, поэтому детям дают дольки яблока. Это и массаж десен, и стимулирование/ускорение прорезывания.Отсутствие зубов в возрасте четырех и более лет однозначно требует визита к врачу-стоматологу. Предварительно я рекомендую сделать панорамный снимок: это позволит понять, на каком этапе находятся зачатки молочных и постоянных зубов.
Можно ли детям жвачку
Эксперты разрешают давать жвачку детям только после пяти-шести лет. Чтобы избежать негативных последствий, резинку можно жевать только после приема пищи и не дольше пяти минут. Она противопоказана при проблемах с зубами и пищеварением, при лишнем весе и сахарном диабете, при заболеваниях желудка, почек и печени, при пищевой аллергии.
Дети старше пяти-шести лет меньше подвержены риску, что они проглотят жвачку или поперхнутся. Но если малыш все-таки проглотил резинку или даже несколько штук, дайте крохе попить большой объем чистой воды. Понаблюдайте за состоянием ребенка в течение дня. Если он чувствует тошноту и боли в животе, лучше вызвать врача.
Подписывайтесь на нашу группу Вконтакте
Как долго можно жевать жвачку
Врачи стоматологи рекомендуют жевать жевательную резинку не дольше 5 минут и только после еды. Стоит отметить, что выступать в качестве полноценной замены зубной щетки, или флосса (зубной нити), жвачка не может. Она способна оказать лишь минимальный очищающий эффект и освежить дыхание
Последнему пункту стоит уделить отдельное внимание. В большинстве случаев жевательная резинка не устраняет неприятный запах изо рта, а лишь маскирует его
Причиной появления запаха чаще всего являются заболевания зубов, лор органов и системы пищеварения. Действительно ликвидировать неприятный запах сможет только устранение причин его вызвавших.
Лечение проблем при прорезывании
Если симптомы при прорезывании зубов сильно опаздывают, назначается длительное и не всегда простое медикаментозное лечение под строгим контролем детских врачей. Решить менее опасные проблемы можно, получив соответствующее одобрение стоматолога.
Например, чтобы уменьшить характерный зуд, стоматологи советуют:
- Массаж дёсен пальцем или слегка охлаждённой детской ложечкой. Руки при этом нужно тщательно вымыть и обработать детским антисептиком
- Давать ребёнку стерильные прорезыватели с жидким наполнением
Прорезыватель
- Добавлять в рацион сухарики из мягкого хлеба или соломку
- Пустышки следует использовать только для провоцирования сосательного рефлекса и успокоения раздражённого малыша
Если прорезывание зубов сопровождается высокой температурой, но при этом никаких других признаков ОРЗ нет, достаточно детской дозы парацетамола, а болезненные ощущения на дёснах уменьшит любой обезболивающий гель – камистад, дентинокс, холисап, мундизал.
Если у ребёнка появляются первые признаки аллергии на анестетик, то подавлять аллерген лучше всего щадящими препаратами – доктор бэби и вибуркол.
Если дёсны при прорезывании начали сильно кровоточить или же появляются незначительные очаги воспаления – используйте гель солкосерил.
Опасно ли, если ребёнок проглотил молочный зуб
Вероятность проглатывания молочных зубов достаточно велика, однако опасности для здоровья такие случаи не представляют. Как и другие попавшие в пищевод мелкие инородные тела, зуб после прохождения пищеварительного тракта будет выведен из организма естественным путём. Корни таких зубов уже рассосались, все края сглажены, и травмировать слизистые оболочки они не могут . Опасных для здоровья веществ в зубах также не содержится, и токсического воздействия на желудок или кишечник они не оказывают.
Стоматологи рекомендуют не вмешиваться в естественные физиологические процессы организма. Не стоит давать слабительное и особенно пытаться вызвать рвоту: она способна спровоцировать вдыхание зуба в лёгкие . А самое главное правило — не паниковать и не суетиться. Стрессовое состояние неизбежно передастся ребёнку и навредит ему больше, чем проглоченный зуб.
Часто задаваемые вопросы
Редакция портала 32топ предлагает ответы на наиболее часто задаваемые вопросы, касающиеся осложнений при прорезывании зубов у детей.
Вопрос: Сколько максимум может длиться высокая температура, если у ребёнка режутся зубы, симптомы других болезней не нашлись?
Большинство стоматологов называет крайний срок – 3 дня. Если изменений не наступает – срочно везите ребёнка к врачу.
Вопрос: Врач посоветовал для успокоения раздражённых дёсен использовать хлопчатобумажную ткань, смоченную в воде, можно ли так делать?
Если это посоветовал врач для массажа дёсен, то бояться не нужно. Убедитесь только в том, что кусок ткани выстиран без использования сильно пахнущих порошков, кондиционеров и прочих химикатов.
Вопрос: Как лучше успокаивать ребёнка, пока режутся зубы, если пустышка не помогает, и он её выплёвывает?
В первую очередь, для ребёнка прорезывание зубов – это сильнейший стресс. И только постоянное присутствие взрослого и непрекращающийся вербальный и тактильный контакт смогут его успокоить.
Вопрос: Можно ли ускорить прорезывание зубов, чтобы ребёнок не мучился так долго?
Нет, сам процесс никак ускорить нельзя, это природная физиология, любое вмешательство в дела которой может привести к куда более серьёзным последствиям. Что же касается осложнений, то зачастую вызываются они не самим фактом прорезывания зубов, а нарушением гигиены, питания, перенесёнными болезнями и др.
Автор статьи: Сергей Рябцев
Оценить статью:
4.7
Отказ от ответственности:
Этот материал не предназначен для обеспечения диагностики, лечения или медицинских советов. Информация предоставлена только в информационных целях. Пожалуйста, проконсультируйтесь с врачом о любых медицинских и связанных со здоровьем диагнозах и методах лечения. Данная информация не должна рассматриваться в качестве замены консультации с врачом.
Нужна стоматология?
Стоматологии Санкт-Петербурга
Выберите метроАвтовоАкадемическаяБалтийскаяВасилеостровскаяВладимирскаяВолковскаяВыборгскаяГорьковскаяГостиный ДворГражданский ПроспектДевяткиноДостоевскаяЕлизаровскаяЗвезднаяЗвенигородскаяКировский ЗаводКомендантский ПроспектКрестовский ОстровКупчиноЛадожскаяЛенинский ПроспектЛеснаяЛиговский ПроспектЛомоносовскаяМаяковскаяМосковскаяМосковские ВоротаНарвскаяНевский ПроспектНовочеркасскаяОбуховоОзеркиПарк ПобедыПарнасПетроградскаяПионерскаяПлощадь Александра НевскогоПлощадь ВосстанияПлощадь ЛенинаПлощадь МужестваПолитехническаяПриморскаяПролетарскаяПроспект БольшевиковПроспект ВетерановПроспект ПросвещенияПушкинскаяРыбацкоеСадоваяСенная ПлощадьСпасскаяСпортивнаяСтарая ДеревняТехнологический ИнститутУдельнаяУлица ДыбенкоФрунзенскаяЧерная РечкаЧернышевскаяЧкаловскаяЭлектросилаАдмиралтейскаяБухарестскаяОбводный каналМеждународнаяБеговаяЗенитПроспект СлавыДунайскаяШушары
Посмотрите стоматологии Санкт-Петербурга
Возле метроАвтовоАкадемическаяБалтийскаяВасилеостровскаяВладимирскаяВолковскаяВыборгскаяГорьковскаяГостиный ДворГражданский ПроспектДевяткиноДостоевскаяЕлизаровскаяЗвезднаяЗвенигородскаяКировский ЗаводКомендантский ПроспектКрестовский ОстровКупчиноЛадожскаяЛенинский ПроспектЛеснаяЛиговский ПроспектЛомоносовскаяМаяковскаяМосковскаяМосковские ВоротаНарвскаяНевский ПроспектНовочеркасскаяОбуховоОзеркиПарк ПобедыПарнасПетроградскаяПионерскаяПлощадь Александра НевскогоПлощадь ВосстанияПлощадь ЛенинаПлощадь МужестваПолитехническаяПриморскаяПролетарскаяПроспект БольшевиковПроспект ВетерановПроспект ПросвещенияПушкинскаяРыбацкоеСадоваяСенная ПлощадьСпасскаяСпортивнаяСтарая ДеревняТехнологический ИнститутУдельнаяУлица ДыбенкоФрунзенскаяЧерная РечкаЧернышевскаяЧкаловскаяЭлектросилаАдмиралтейскаяБухарестскаяОбводный каналМеждународнаяБеговаяЗенитПроспект СлавыДунайскаяШушары
Все стоматологии Санкт-Петербурга
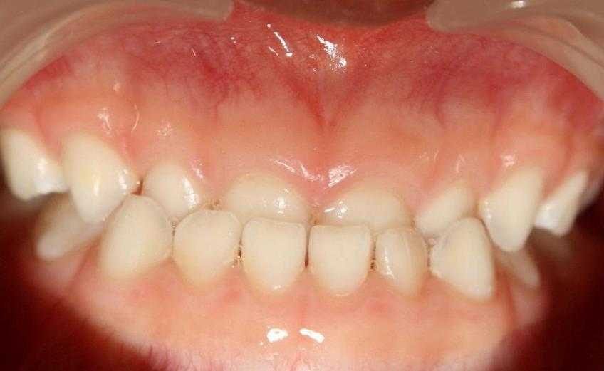
Как формируется молочный прикус?
Зубы начинают прорезываться примерно в 6 месяцев. Сначала появляются два нижних резца (передних зуба), затем верхние резцы.
В это время ребенок ест в основном пюреобразную пищу, но постепенно начинает пробовать небольшие кусочки. А зуд десен при прорезывании заставляет его грызть буквально все, что попадется в руки. То есть самые первые молочные зубки уже начинают выполнять свою функцию: механической обработки пищи с помощью откусывания и пережевывания.
Очень важно не откладывать надолго знакомство с твердой пищей. Если все время измельчать пищу, то функционально челюсти ребенка не будут развиваться так, как нужно
Это может спровоцировать слабость артикуляционного аппарата, проблемы с речью, а также с прикусом.
В период до двух лет прорезываются все 20 молочных зубов. Уже к этому моменту отчетливо формируется способ их смыкания. Прикус может быть:
- правильным (верхние зубы немного перекрывают нижние);
- открытым (с промежутком между верхними и нижними резцами);
- прямым (зубы смыкаются своими режущими кромками);
- дистальным (нижняя челюсть меньше нормы, задвинута относительно верхней);
- мезиальным (нижняя челюсть выдвинута вперед);
- перекрестным (асимметрия зубных рядов).
Открытый прикус у ребенка
Почему возникают нарушения? Есть несколько основных причин.
- Врожденные аномалии.
Адентия (отсутствие зачатков некоторых молочных зубов), патологии строения челюсти или языка. В этом случае зубы изначально не могут прорезаться правильно.
- Несоразмерность челюсти и зубов.
Обычно молочные зубы достаточно мелкие и им хватает места. Но если челюсть сужена, зубы могут при прорезывании перекрывать друг друга, вырастать вне зубного ряда.
Мезиальный прикус у ребенка
- Недоразвитие челюсти.
Сужение челюсти не только не дает прорезаться зубам в правильном положении, но и как бы заставляет другую челюсть занимать неправильное положение. Например, если нижняя челюсть слишком маленькая, верхние зубы будут стремиться сомкнуться с нижними и тоже отодвигаться назад, тогда возникнет скученность зубов.
- Несвоевременное прорезывание зубов.
Может возникнуть, если ребенок ослаблен, часто болеет, плохо питается. Иногда это индивидуальная особенность.
- Неправильное кормление.
С самого начала прикорма не рекомендуется пюре или кашу давать из бутылочки, так как такой способ кормления не способствует правильному формированию прикуса. Всю еду, кроме молока, ребенок должен есть ложечкой.
Таким образом, почти все причины нарушений, кроме врожденных, можно свести к тому, что зубы не выполняют свою функцию так, как они должны. А в норме уже в год-полтора ребенок жует довольно активно, пробует разные продукты, в том числе твердые (кусочки фруктов, хлеб, печенье и так далее). В возрасте до 2 лет, а тем более позже следует активно вводить в питание твердую пищу, чтобы корни молочных зубов получали достаточно стимулов для правильного развития.
С самого начала прорезывания зубов можно пробовать ими жевать, для этих целей подойдет и прорезыватель
В возрасте от 3 лет и старше на прикус большое влияние оказывает осанка. Любые нарушения положения позвоночника приводят к тому, что положение тела и головы становится асимметричным. Меняется и прикус: челюсть может выдвинуться либо вперед, либо в сторону. Зубные ряды при этом будут все равно стремиться к смыканию, что вызовет отклонение зубов от правильного положения.
Большинство этих негативных факторов удается или устранить, или уменьшить их влияние. Тогда можно избежать лечения в будущем. Поэтому уже в возрасте 2–2,5 лет рекомендуется впервые посетить ортодонта и при необходимости других врачей.
Другие статьи:
- Как после исправления прикуса меняется лицо
- Пластины для выравнивания зубов у детей
Польза жевательной резинки
Теперь обратимся непосредственно к преимуществам жевательной резинки, её очевидным плюсам. Затем разберем и минусы – существенные недостатки.
Интенсивное выделение слюны
Как только мы начинаем жевать резинку, в нашей ротовой полости происходит активное выделение слюнного секрета. Выделение слюны нормализует кислотно-щелочной баланс (слюна содержит щелочь, оказывающую «уравновешенное» действие на кислоту) и благоприятно воздействует на среду ротовой полости. Слюна также дополнительно «омывает» зубную поверхность от вредоносных отложений.
Также слюноотделение нормализует процесс пищеварения. Во время жевания резинки выделяется желудочный сок, который помогает при переедании и несварении желудка.
Очищение
Жевательная резинка действительно очищает полость рта от пищевых отложений. Но – лишь поверхностно. В случае с труднодоступными местами ротовой полости резинка остается бессильной.
Жевательная резинка – это лишь дополнительное средство в процессе ухода за ротовой полостью. Если вам нужно очистить зубы от пищевых отложений, воспользуйтесь лучше тонкой и безопасной зубной нитью.
Механизм жевания
Доказано, что механизм жевания резинки благоприятно воздействует не только на ротовую полость, но и на состояние организма в целом. Во-первых, во время жевания резинки происходит укрепление обоих, верхней и нижней, челюстей, а также нормализация процесса кровообращения в десневых тканях. Во-вторых, употребление жевательной резинки помогает справляться с эффектом закладывания ушей (при поездке в самолете или скоростном поезде).
Во время жевания резинки не нужно широко открывать рот, а также делать резких движений, чтобы жвачка не попала в горло. Также не нужно надувать пузыри – это любимое для многих развлечение не несет в себе никакой положительной нагрузки.
Психологический эффект
Врачи-невропатологи открыли ещё один удивительный эффект жевания резинки – многим людям этот процесс позволяет справиться с навязчивыми, тяжелыми мыслями. Жевание резинки при эмоциональном возбуждении помогает успокоиться и предотвратить стрессовую ситуацию. Это напоминает тот психологический эффект, который дают курение сигарет и употребление шоколада в больших количествах, но, несомненно, жевание резинки – самый безопасный способ справиться с тем, что вам приходиться нервничать.
Поскольку во время жевания резинки происходит активная работа челюстными мышцами, сам процесс помогает человеку не только успокоиться, но и сосредоточиться и собрать силы.
Профилактические меры
Чтобы снизить риск проглатывания, нужно попросить ребёнка сразу же сообщать о подвижных зубах. Тогда можно отслеживать процесс расшатывания и при необходимости вмешаться
Если хотя бы один молочный зуб подвижен, каждый раз перед едой стоит напоминать ребёнку, чтобы он соблюдал осторожность, старался не откусывать и не жевать этим зубом
Не лишними окажутся также меры, которые предотвращают удары, способные привести к проглатыванию зубов. Следует контролировать активные игры маленьких детей и обеспечить их качественной экипировкой для занятий спортом: масками, шлемами, защитными каппами.
Список источников:
-
Редько А. И., врач-стоматолог, статья «Сроки прорезывания постоянных зубов у детей» // URL: https://langeclinic.ru/clinic/articles/119/ (дата обращения: 18.08.2021 г.).
-
Виноградова Т. Ф. Зубы молочного и постоянного прикуса. Последовательность и сроки прорезывания // Медицинская сестра. 2015. № 5. // URL: https://cyberleninka.ru/article/n/zuby-molochnogo-i-postoyannogo-prikusa-sroki-i-posledovatelnost-prorezyvaniya-zubov (дата обращения: 18.08.2021 г.).
-
Вишняк Ю. Л., стоматолог-хирург, статья «Во сколько лет выпадают молочные зубы» // URL: https://lukashuk.com.ua/news/vo-skolko-let-vypadayut-molochnyye-zuby-u-detey.html (дата обращения: 18.08.2021 г.).
-
Половков Д. А., стоматолог-терапевт, статья «Что делать, если проглотил зуб» // URL: https://zuub.ru/vopros-otvet/chto-delat-esli-proglotil-zub.html (дата обращения: 18.08.2021 г.).
-
Макао К., врач стоматологической хирургии, статья «Как удалить проглоченный зуб» // URL: https://zuub.ru/vopros-otvet/chto-delat-esli-proglotil-zub.html (дата обращения: 18.08.2021 г.).
-
Николова А. Н., детский стоматолог, статья «Когда выпадают молочные зубы» // URL: https://www.stomatclinica.com.ua/ru/kogda-vypadayut-molochnye-zuby/ (дата обращения: 18.08.2021 г.).
-
The Royal Children’s Hospital Melbourne. Swallowed (ingested) foreign bodies // URL: https://www.rch.org.au/kidsinfo/fact_sheets/Swallowed_%28Ingested%29_foreign_bodies/ (дата обращения: 18.08.2021 г.).
ЖВАЧКИ «Против»
— Жвачка освежает дыхание на довольно короткий период времени и не решает основных причин заболеваний зубов и десен. К тому же, по этикету использование
жвачек считается неприличным.
— Некоторые компоненты в составе могут вызывать неприятные эффекты: нарушения гормонального баланса, раздражение слизистой желудка, а также слабительный
эффект.
— Очень долгое пережевывание «жвачки» утомляет челюсти и может вызвать головную боль.
— Никакая жвачка не сможет прочистить труднодоступные участки.
— Желудочный сок, выделяемый при жевании, может навредить, если жевать резинку натощак. По этой причине может начаться изжога, тошнота, боль в желудке.
Однако, некоторым людям свежая мятная жвачка помогает устранить тошноту!
— Конечно, жвачка – не ириска, но всё же она может повредить пломбы. Дело в том, что при жевании в полости рта выделяются вещества, разрушающие
пломбы. Дети любят надувать пузыри, что иногда приводит к деформации прикуса. Также дети часто проглатывают жвачки.






























